What looks like a routine urinary tract infection can sometimes reveal something far more unexpected lurking beneath the surface. For one 31-year-old man in Wardha, India, a painful five-day ordeal led doctors to a discovery that affects fewer than one in a million people: he had been living his entire life with three kidneys.
The condition — known medically as a supernumerary kidney — is so rare that most physicians will never encounter a single case in their careers. And yet, there it was on the CT scan, plain as day: a third kidney sitting alongside the standard two, quietly present and completely unknown to its owner until a burning sensation during urination sent him to a medical center.
It’s a striking reminder that the human body still holds surprises, even for the people living in it — and even for the doctors trained to understand it.
What Brought Him to the Doctor
The man’s symptoms were consistent with a serious urinary tract infection. He had experienced five days of pain on the right side of his lower back, a burning sensation when urinating, and a fever that climbed above 102.2 degrees Fahrenheit (39 degrees Celsius). None of that, on its own, would raise any unusual flags for a physician.
During the physical examination, doctors noted tenderness on the right side — again, consistent with a kidney infection, also called pyelonephritis. The standard next step was imaging, which is where the story took a sharp and unexpected turn.
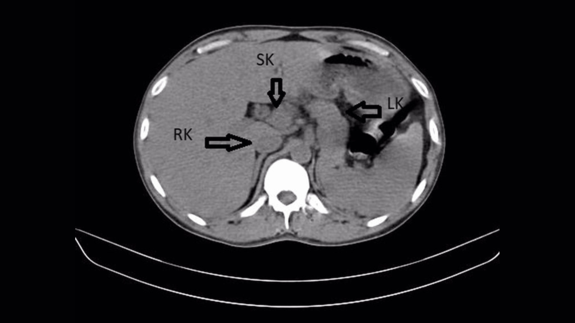
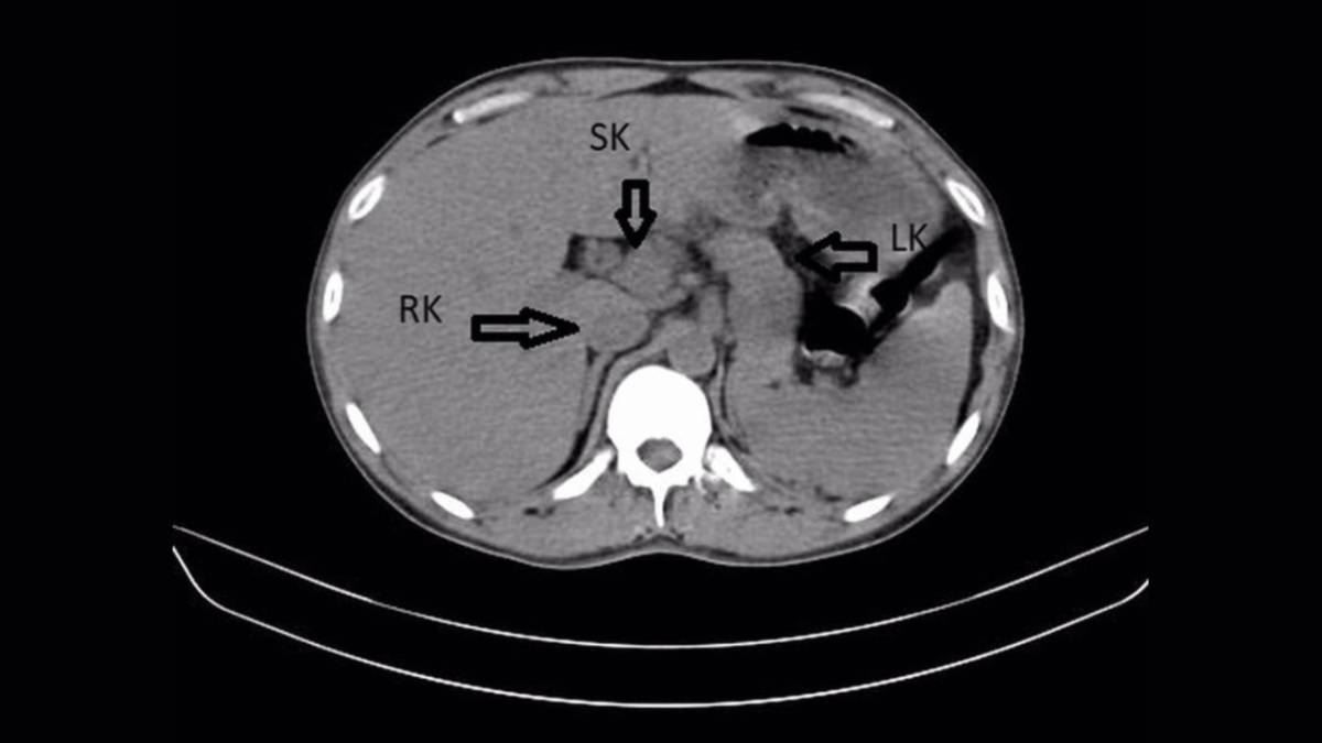
A CT scan revealed not two kidneys, but three. The scan clearly showed the locations of the patient’s right kidney, left kidney, and a third “supernumerary” kidney — a medically documented but extraordinarily uncommon anatomical variation.
What a Supernumerary Kidney Actually Is
A supernumerary kidney is a separate, distinct kidney — not a duplicated collecting system or a split organ, but an actual additional kidney with its own structure. It is one of the rarest congenital anomalies in human anatomy, meaning it develops during fetal growth and is present from birth.
Most people with the condition have no idea they have it. The extra kidney is often smaller than the standard two and may or may not function normally. Because it rarely causes obvious symptoms on its own, it typically goes undetected unless discovered incidentally — exactly as it was in this case — during imaging performed for an unrelated reason.
The condition is distinct from a “duplex kidney,” where one kidney has two collecting systems but remains a single organ. A true supernumerary kidney is a genuinely separate structure, which is what makes it so unusual.
By the Numbers: What the CT Scan Showed
| Detail | Information |
|---|---|
| Patient age | 31 years old |
| Patient location | Wardha, India |
| Duration of symptoms | 5 days before seeking care |
| Fever temperature | Higher than 102.2°F (39°C) |
| Imaging used | CT scan |
| Discovery | Supernumerary (extra) kidney |
| Kidneys identified on scan | Right kidney, left kidney, supernumerary kidney |
| Published in | Cureus (2022) |
The case was documented in the medical journal Cureus in 2022, authored by Nimkar et al., adding to the slim but growing body of literature on this rare anatomical finding.
Why This Kind of Discovery Matters Beyond the Individual Case
Cases like this one matter for a few reasons that go beyond the novelty factor. First, they highlight how imaging technology has transformed medicine’s ability to detect anatomical variations that would have gone completely unnoticed in earlier eras. Without a CT scan — ordered for what seemed like a straightforward infection — this man might have gone his entire life without knowing.
Second, supernumerary kidneys can carry medical implications. An extra kidney may be more vulnerable to infection, obstruction, or other complications, depending on how it is positioned and how its drainage connects to the urinary system. Knowing it exists allows doctors to factor it into any future care.
Third, this case serves as a useful illustration of how the diagnostic process works. Symptoms pointed to one thing; imaging confirmed that diagnosis and revealed something entirely unexpected alongside it. That kind of incidental finding — sometimes called a “incidentaloma” in clinical settings — is becoming more common as imaging becomes more routine.
What Happens When You Find Out You Have an Extra Kidney
For most people discovered to have a supernumerary kidney incidentally, the immediate next steps depend on the condition and function of the extra organ. Doctors typically assess whether it is causing any obstruction, whether it appears healthy, and whether it may have contributed to the presenting problem — in this case, the infection.
If the extra kidney is functioning normally and not causing complications, many patients are monitored rather than treated surgically. If it is the source of recurring infections or is malformed, intervention may be considered. Each case is evaluated individually, given how little standardized guidance exists for such a rare condition.
For this particular patient, the initial reason for his visit — the UTI symptoms — would have been treated with antibiotics and supportive care, which is standard for a kidney infection. What changed was the broader picture of his anatomy, which doctors now had on record.

Frequently Asked Questions
What is a supernumerary kidney?
A supernumerary kidney is a rare congenital condition in which a person is born with an extra, distinct kidney in addition to the standard two. It is one of the rarest known anatomical variations in humans.
How was the extra kidney discovered in this case?
A 31-year-old man in Wardha, India, visited a medical center with symptoms of a severe urinary tract infection. A CT scan ordered to investigate his condition revealed a third kidney alongside his normal two.
What symptoms did the patient have?
He experienced five days of pain on the right side of his lower back, a burning sensation during urination, and a fever above 102.2 degrees Fahrenheit (39 degrees Celsius).
Is a supernumerary kidney dangerous?
Not always — many people with the condition have no symptoms and live normally without knowing it exists. However, the extra kidney can sometimes be associated with infections or other urinary complications, which is why medical follow-up is important once it is discovered.
How rare is this condition?
A supernumerary kidney is considered extraordinarily rare, with only a small number of confirmed cases documented in medical literature. Most physicians will never encounter a case during their careers.
Where was this case published?
The case was published in the medical journal Cureus in 2022, authored by Nimkar et al., and included CT scan imaging showing all three kidneys.

Leave a Reply